Ссылки для упрощенного доступа

Биомаркеры и будущее медицины


Срез ткани молочной железы, сделанный для поиска генетических мутаций
Срез ткани молочной железы, сделанный для поиска генетических мутаций

Создание диагностической системы биомаркеров становится важным слагаемым персонифицированной медицины

Последнее десятилетие исследования биомаркеров бурно прогрессируют. Каждый день миллионы людей принимают лекарства, которые в принципе не могут помочь, потому что они не подобраны индивидуально, отмечается на портале Nature. Журнал приводит данные о ведущей десятке наиболее раскупаемых в США лекарств и их эффективности: в лучшем случае препарат помогает одному из четырех пациентов (как, например, средство от артрита "Хумира" – 25 процентов эффективности), в худшем – одному из 25 (как нексиум/эзомепразол – 4 процента). Столь неутешительная статистика и состояние здоровья американцев в целом, вероятно, и вынудила президента Обаму анонсировать национальную программу персонифицированной медицины, куда вкладывается 215 миллионов долларов. В частности, в рамках программы планируется создать банк данных генетических обследований и другую информацию о здоровье миллиона жителей США. Помочь развитию персонифицированной медицины во всем мире способна диагностика, основанная на биомаркерах.

Доктор медицинских наук, профессор иммунологии Гелена Тласкалова-Гогенова из Института микробиологии Академии наук Чешской Республики поясняет в беседе с корреспондентом Радио Свобода, что в перспективе врачу необходимо выявить генетические особенности каждого больного, чтобы подобрать самое эффективное и безопасное лекарство и его дозировку. Очевидно, что такая терапия будет более эффективной и будет сопровождаться менее выраженными побочными эффектами, а также сократит расходы на дорогостоящие, но не способные помочь данному пациенту лекарства. Персонифицировать терапию могут помочь так называемые биомаркеры.

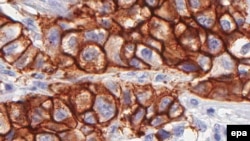
Этот белок/биомаркер может быть первым звонком, предупреждающим о развитии различных заболеваний

"Это клетки, молекулы или гены, генные продукты, ферменты или гормоны, которые измеряются в тканях, клетках или жидкостях организма и позволяют выявить ткань или орган, с которым не все в порядке. Диагностика, основанная на этих индикаторах, более чувствительна, чем многие традиционные методы", – отмечает Гелена Тласкалова-Гогенова. Биомаркеры обладают характеристиками, которые могут быть объективно измерены для выявления патологического процесса или констатации нормы, а также ответа организма на терапию или применение новых лекарств. Такие индикаторы используются для ранней диагностики и профилактики заболеваний: например, когда человек только начинает болеть, в кровь попадает определенный белок, появляющийся как следствие нарушения целостности органа или «неправильного» метаболизма ткани. Этот белок/биомаркер может быть первым звонком, предупреждающим о развитии различных заболеваний.

Биомаркеры могут быть клиническими, имиджевыми (например, те, что используются в процессе магнитно-резонансной томографии) или биохимическими (находятся в крови, спинномозговой жидкости, слюне, моче или на поверхности кожи). Различают их и по характеру заболевания: неврологические (скажем, биомаркеры болезни Альцгеймера), метаболические, сердечно-сосудистых заболеваний, онкомаркеры, генетические или выявляющие патологии внутриутробного развития (например, биомаркеры аутизма). Радио Свобода подготовило обзор основных биомаркеров, использующихся сегодня в клинической практике.

Неврологические биомаркеры

Антитела, находящиеся в крови страдающих болезнью Паркинсона (БП) и Альцгеймера (БА), служат индикаторами заболевания на ранней стадии. Скорее всего, как отмечает Гелена Тласкалова-Гогенова, это заболевание вызывается сочетанием генетических и факторов среды/образа жизни. Клиницисты используют биомаркеры для диагностики легкой формы заболевания, а также для профилактики в той стадии, когда симптомы еще отсутствуют.

При развитии болезни Паркинсона в крови пациента можно обнаружить антитела к амилоид-образующему белку альфа-синуклеину – они возникают как часть иммунного ответа организма на заболевание. Анализ на альфа-синуклеин поможет для профилактики: при раннем определении БП возможна вакцинация амилоидными антигенами и антителами, чтобы поддержать естественную способность организма сопротивляться заболеванию.

Преимущества персонифицированной медицины в том, что пациент больше не подопытный кролик

При синдроме Альцгеймера биомаркерами становятся антитела к бета-амилоидам. Существует три гипотезы возникновения БА: снижение синтеза ацетилхолина по неизвестным науке причинам, отложение бета-амилоида, а также патологические изменения тау-белка, что приводит в итоге к нарушениям прохождения сигнала в клетках мозга и последующему их отмиранию. Исследования Кристофера Розена из академии Салгренска университета Гетеборга показывают, что мутации тау-белка в спинномозговой жидкости наступают за 10–15 лет до возникновения Альцгеймера, и также могут служить биомаркером заболевания. Чтобы биомаркеры Альцгеймера использовались в клинической практике, ассоциация Альцгеймера создала комиссию по контролю за качеством и рекомендовала использование биомаркеров спинномозговой жидкости для ранней диагностики БА по всему миру.

Исследователи, занимающиеся разработкой новых лекарств, нуждаются в биомаркерах нейродегенеративных заболеваний, отмечает Джованни Фрисони из университетского госпиталя Университета Женевы. Ведь в этом случае измеряется ответ организма на молекулярном и физиологическом уровне, что значительно дополняет палитру исследователей новыми деталями. Преимущества персонифицированной медицины в том, что пациент больше не подопытный кролик, которому врач предлагает: "Давайте попробуем лекарство А, а если не поможет, у нас есть в запасе еще лекарства В и С. А если и эти не помогут, что ж, тогда наука бессильна". Лекарство подбирается индивидуально.

Тест на биомаркеры важен настолько же, насколько, скажем, расшифровка детального анализа крови или ЭКГ

Кардиомаркеры – вещества, которые поступают в кровь при сердечно-сосудистых заболеваниях или сильном стрессе. В клинической практике они используются как дополнение к ЭКГ и хорошо зарекомендовали себя на раннем этапе диагностики. Ныне широкое распространение получили такие индикаторы острой и хронической сердечной недостаточности, как креатинкиназа-MВ, миоглобин, гомоцистеин, С-реактивный белок (СРБ), тропонин Т (cTnT) и тропонин I (cTnI). Появились и новые: мозговой натрийуретический пептид, а также белок, связывающий жирные кислоты-3. Такие тесты на биомаркеры, дополняющие кардиологу картину заболевания, назначаются пациенту в случае симптомов коронарной блокады сердца: боль в груди, которая длится более нескольких минут и усиливается, боль и дискомфорт в плечах, руках, шее, челюсти, боль в груди, которая не становится лучше после приема нитроглицерина. Разумеется, любой из этих симптомов требует комплексного обследования, и тест на биомаркеры важен настолько же, насколько, скажем, расшифровка детального анализа крови или ЭКГ.

Доктор медицины, кардиолог из Праги Иржи Кеттнер рассказывает, что на сегодня известно около 20 биомаркеров атеросклероза, и в идеале он бы рекомендовал всем пройти мультимаркеровую диагностику. Эксперт из Нидерландов Ганс Петер Брюннер-Ла Рокка, профессор-кардиолог университета Маастрихт и директор кардиологической клиники, назвал использование кардиобиомаркеров полезным и снижающим стоимость лечения. Как сказал Брюннер-Ла Рокка, в Маастрихтском университете ведутся уникальные исследования в области кардиобиомаркеров сердечной недостаточности. В целом известно около 1000 различных индикаторов заболеваний. Однако в его кардиоклинике исследователи сконцентрировались на наборе из 20 биомаркеров, взаимодействующих между собой и связанных с сердечной недостаточностью.

Каждый частный случай может вывести исследователей на более широкие обобщения

В 2014 году начато комплексное исследование, которое должно определить, как по биомаркерной диагностике формировать список медикаментов и их дозировку для конкретного пациента. Эти исследования в области персонифицированной медицины призваны показать, как организм пациентов-сердечников реагирует на терапию и как лечение сердечной недостаточности взаимодействует с сопутствующими заболеваниями и образом жизни пациента. Например, кардиолог прописывает пациенту лекарство, снижающее давление, и наблюдает, как препарат работает применимо к конкретному больному. Если при этом подключается бригада клиницистов, то они могут дополнить исследование анализами крови, состоянием биомаркеров, отвечающих гипертензии, подробностями о перенесенном стрессе, профессиональными нагрузками и другой необходимой информацией, которая будет сохранена в национальной базе данных. Таким образом, каждый частный случай может вывести исследователей на более широкие обобщения, возможно, применимые после обработки накопленной базы данных к целой популяции.

Метаболические биомаркеры

По данным американской диабетической ассоциации, диабет 2-го типа предсказуем и предотвратим. "Снижение веса на 5–10 процентов уменьшает риск заболевания диабетом на 50 процентов", – считает Джеймс Мейгс, ученый-биохимик компании GlaxoSmithKline. Он отмечает, что, помимо классического диагностического трио, а именно оценки состояния бета-клеток поджелудочной железы, скелетной мускулатуры и печени, дружно участвующих в создании предиабета, стоит обращать внимание и на такие сигналы организма, как скажем, анормальные адипоциты (жировые клетки), субклиническое воспаление, эндотелиальная дисфункция (прогрессирующее повреждение внутреннего слоя (эндотелия) клеток сосудов или перегрузка железом: отложение железа в тканях и сопутствующее повышение уровня ферритина в крови. Например, по данным PubMed, между повышением уровня ферритина, который можно определить по анализу венозной крови, и диабетом 2-го типа существует высокая корреляция.

Эндотелиальная дисфункция также может стать ранним сигналом риска возникновения диабета 2-го типа. Профессор Анджело Авогаро (Американская диабетическая ассоциация) отмечает, что эндотелиальная дисфункция может стать причиной различных осложнений при диабете 2-го типа, и поэтому очень важно следить за "поведением" сосудов. Это можно сделать, к примеру, в ходе простой и недорогой процедуры с помощью датчиков температуры (VENDYS), которые закрепляются на указательных пальцах рук и показывают способность организма регулировать кровообращение.

Онкобиомаркеры

Развитие молекулярно-генетических и информационных технологий во многом помогает современной онкологии. К примеру, теперь возможно предсказать ответ организма на химиотерапию и создать вакцины с "личным адресом". Общедоступные тесты типа Oncotype DX (Genomic Health) and Mammaprint (Agendia) основаны на корреляции между экспрессией генов и прогнозом и/или вероятным ответом на химиотерапию. В то же время ряд биомаркеров используются непосредственно для ранней диагностики онкозаболеваний.

Медики призывают относиться к этому диагностическому методу с осторожностью

Например, в случае рака простаты это биомаркер PSA-антиген. Корреспондент Радио Свобода поинтересовалась мнением Томаса Бухлера, главы отделения онкологии первого медицинского факультета Карлова университета. Превентивный скрининг онкомаркеров рака простаты, яичников и легких Томас Бухлер осторожно назвал "методом, нуждающимся в доработке". Тем не менее в Чехии и Великобритании широко используется PSA-тест: мужчинам после 50 лет этот недорогой анализ (он стоит около 10 евро) рекомендовано проходить раз в два года. Если уровень PSA выше нормы, имеет смысл провести биопсию. Впрочем, медики призывают относиться к этому диагностическому методу с осторожностью. "Были проведены два контрольных исследования, и оба не смогли научно доказать, что в случае рака простаты выживаемость мужчин, прошедших PSA-скрининг, выше, чем тех, кто подобный скрининг не проходил", –​ рассказывает профессор-онколог Лодовико Балдуччи из Moffit Cancer Center (США).

Рак яичников. Лонг Нгуен на сайте Future medicine говорит о том, что нынешние методы диагностики (тест на антиген СА-125, ультрасонография и гинекологический осмотр) позволяют выявить только 30–45 процентов случаев на ранней стадии рака яичников, а это наиболее летальное гинекологическое заболевание, часто протекающее бессимптомно до тех пор, пока состояние не будет необратимым. Тем не менее СА-125 имеет низкую специфичность, поэтому нынешние исследования направлены на поиски более точных маркеров. Ученым из университета в Калифорнии, Сан-Диего, удалось обнаружить кандидата – высокоспецифический генетический материал mRNA. В ходе исследования аналитики выявили шесть изоформ мессенджера mRNA, которые присутствовали в 296 образцах больных раком и отсутствовали в 1839 пробах здоровой ткани. Шерилл Сайенц, одна из участниц проекта, говорит, что теперь необходимы более полные клинические исследования, чтобы подтвердить присутствие этого биомаркера у больных раком яичников и отсутствие у здоровых. И тогда, вероятно, mRNA может стать одним из клинически подтвержденных индикаторов приближающегося заболевания.

Знаменитый пример – актриса Анджелина Джоли, мать, тетя и бабушка которой умерли от рака груди

Рак груди. "В клинической практике пока не существует валидированного биомаркера рака груди", – предупреждает Брунна Дос Анхос Пульц из университета Уберландия, Бразилия. В то же время мутация гена BRCA1, как показывают исследования, вызовет рак груди у 55–65 процентов женщин, сообщает National Cancer Institute. Исследования мутаций BRCA не дают абсолютно точного прогноза, но несколько медицинских тестов для подобной диагностики разработаны и во многих странах рекомендованы женщинам с наследственной историей такого заболевания. Знаменитый пример – актриса Анджелина Джоли, мать, тетя и бабушка которой умерли от рака груди. Обнаруженная у самой Джоли мутация гена BRCA1 подтолкнула ее превентивно пройти двойную мастоэктомию.

Рак шейки матки. Герт Ван Раэмдонск из университета Квинсленда, Австралия, провел в 2014 году исследование, касающееся протеин-биомаркеров, находящихся в цервикальной жидкости (ЦВЖ). Результаты исследования, опубликованные на портале Plos Org, помогли создать тест самодиагностики рака шейки матки, который может помочь женщинам в слаборазвитых странах, где нет возможности проходить регулярные гистологические анализы. Автор исследования отмечает, что биомаркеры, находящиеся в ЦВЖ, более специфичны, чем биомаркеры плазмы крови. Таким образом, новый тест успешно совершенствует ныне используемые скрининг-программы.

Рак прямой кишки. "У 50 процентов пациентов с колоректальным раком возникают метастазы. Такие биомаркеры, как эпидермальный рецептор фактора роста (EGFR) или мутация онкогена KRAS, способны предсказать прогрессирование заболевания", –​ сообщает Рассел Ланган с соавторами в журнале Journal of Cancer. Medscape информирует, что от 30 до 50 процентов злокачественных опухолей прямой кишки отличаются мутацией KRAS-гена.

***

"Нормальный" уровень какого-либо онкомаркера не означает отсутствие заболевания

Подводя итог, отметим, что на сегодняшний день биомаркеры лучше работают для диагностики кардиоваскулярных и нейродегенеративных заболеваний на ранней стадии. Что касается онкозаболеваний, данные скрининга биомаркеров не стоит абсолютизировать. "Пока что не был выявлен ни один универсальный онкомаркер, ни один метод, специфичность которого достигала бы 100 процентов, – комментирует Ярослав Масопуст, профессор второго медицинского факультета Карлова университета. – Так, "нормальный" уровень какого-либо онкомаркера не означает отсутствие заболевания. И наоборот, позитивный результат не обязательно свидетельствует о присутствии недоброкачественной опухоли". Впрочем, в отдельных случаях различительная способность онкомаркеров позволяет определить опухоль весом 1 мг (наличие 10 в 6-й степени клеток), в то время как клинический диагноз ставится только при развитии опухоли в которой присутствует на три порядка (10 в 9-й степени) больше клеток. Кроме того, биомаркеры помогают индивидуально подобрать лечение при онкозаболеваниях, что гораздо эффективнее "валового" подхода.

Многие исследователи отмечают, что ориентир на биомаркеры и персонифицированная медицина принесут в будущем миллионы долларов экономии, поскольку лекарства будут подбираться строго по "вашему адресу". Ныне же эти миллионы расходуются вхолостую на не помогающее пациенту лечение, а также разработку новых "безадресных" лекарств-блокбастеров. Не лучше ли бы было поощрять налоговыми скидками фармкомпании и национальные организации, отвечающие за здравоохранение в высокоразвитых странах, к инвестициям в персонифицированную медицину? "Исследования продолжаются, и за этим будущее", – соглашается Гелена Тласкалова-Гогенова.

XS
SM
MD
LG